インドアビューで院内をご覧いただけます
上の画面をクリックすると院内を360度ご覧いただけます。
受付・待合室
ここは当かみやす矯正歯科の受付になります。
白に木の色を基調としたシックな造りにしています。
患者さまに治療前のおちついた空間を味わっていただき、リラックスしていただけるよう考えています。
どんなことでもどうぞお気軽にご相談下さい。
白に木の色を基調としたシックな造りにしています。
患者さまに治療前のおちついた空間を味わっていただき、リラックスしていただけるよう考えています。
どんなことでもどうぞお気軽にご相談下さい。


カウンセリングルーム
ここは院長と対話するカウンセリングルームです。
診療に入る前、患者さま1人1人のお話をじっくりと把握し最良の治療法をここで相談します。
診療に入る前、患者さま1人1人のお話をじっくりと把握し最良の治療法をここで相談します。

消毒システム
最近いろいろな感染症が話題に上がっています。
そこで当医院では患者さん一人一人が安心して治療を受けていただけるように、消毒システムを導入し、細心の注意を払っています。
そこで当医院では患者さん一人一人が安心して治療を受けていただけるように、消毒システムを導入し、細心の注意を払っています。


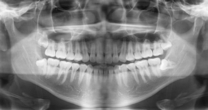
デジタルレントゲン
デジタルレントゲンは何より「被曝量が低い」事が最もメリットであり、それでいて高画質な画像で記録・診断することが可能です。
それにより、患者さん皆様の歯列形状をより詳しく、それぞれ皆様にあわせた診断を目指しています。
それにより、患者さん皆様の歯列形状をより詳しく、それぞれ皆様にあわせた診断を目指しています。


デジタル画像スキャナ
院内の記録効率を上げるため、患者様の細部にわたりレントゲン写真をデジタル化し保存しています。
いつでも、どのようなご要望にも対応できるよう院内のデジタル化を進めています。
いつでも、どのようなご要望にも対応できるよう院内のデジタル化を進めています。


治療後が見える3Dスキャナー (itero element)
3Dスキャナーを導入しました。
詳しくは、下記バナーをクリックしてご覧ください。
詳しくは、下記バナーをクリックしてご覧ください。


