治療開始時期
どれくらいから始めたほうがいいのか?いつまでに始めなきゃいけないのか?まとめてみました。

通常は7歳ごろ、上アゴの前歯の永久歯が萌えてきた頃より開始可能です。

比較的難しい咬み合わせです。治療に反応しやすい早い時期の治療をお勧めします。

通常、8歳頃、前歯が4本づつ萌えてきた頃から治療が可能です。

顔のバランスに関係してきます。乳歯列に開始する場合もあります。

前歯4本生えてきたら

ケースによって違いますので、専門医への相談が必要です。

治療は7歳ごろ、前歯が萌え変わったころから可能です。

顔のバランスにも関係します。治療は7歳ごろ、前歯が萌え変わった頃から可能です。

通常は7歳ごろ、上アゴの前歯の永久歯が萌えてきた頃より開始可能です。

治療は7歳ごろ、前歯が萌え変わったころから可能です。
矯正治療の費用の例
いつどんな矯正をするかで変わってくるからです。
例を上げて、どんな治療にいくらくらいかかるかをまとめました。
目安になれば幸いです。(費用は税抜きです)
お気軽にお問い合わせください。
1.乳歯列期(こどもの歯のみ)の治療
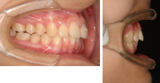
反対咬合(受け口) 5歳
治療前

治療後

使った装置:取り外し式装置(床矯正装置)

※この治療には個人差があります
①主訴:受け口
②診断名あるいは主な症状:機能性反対咬合
③年齢:5歳
④治療に用いた主な装置:床矯正装置(取り外し可能な装置)
⑤抜歯部位:非抜歯
⑥治療期間:8か月
⑦治療費:
検査費用:38,500円
基本矯正費用:220,000円
調整料:3,300円(1~2か月に1回)
⑧リスクと副作用:指示通りの時間数、装置を必ず毎日装着すること
治療後に後戻り予防として保定装置を装着する
精密な歯の移動には固定式装置が必要な場合もある。
アゴの成長により後戻りすることがある。
第2期(永久歯列期)での仕上げの治療が必要な場合もある。。
2.混合歯列期(小学2~5年生くらい)の治療
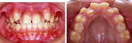
叢生(前歯のデコボコ) 8歳女子
治療前

治療後

※この治療には個人差があります
①主訴:前歯の不揃いを治したい
②診断名あるいは主な症状:前歯部の叢生(アゴと歯の大きさの不調和)
③年齢:8歳
④治療に用いた主な装置:ライトワイヤー法
⑤抜歯部位:非抜歯
⑥治療期間:約1年半
⑦治療費:検査:38,500円
基本矯正費用:440,000円~
調整料:6,600円 (ひと月に1回)
⑧リスクと副作用:治療開始後数日は噛むときに痛みがあります。
虫歯予防のため適切な歯磨きが必要
装置が破損することがあるため、その時は連絡をすること
後戻り防止のため、保定装置の装着が必要である。
第2期(永久歯列期)での仕上げの治療が必要になる場合もある
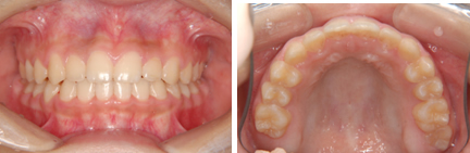
上顎前突(出っ歯)10歳男子
治療前

出っ歯治療後

※この治療には個人差があります
①主訴:出っ歯を治したい
②診断名あるいは主な症状:上顎前歯の前方への突出
③年齢:10歳
④治療に用いた主な装置:ライトワイヤー +(機能的矯正装置)
⑤抜歯部位:非抜歯
⑥治療期間:約1年半~2年
⑦治療費:検査:38,500円
基本矯正費用:440,000円~
調整料:6,600円 (ひと月に1回)
⑧リスクと副作用:治療開始後数日は噛むときに痛みがあります。
虫歯予防のため適切な歯磨きが必要
装置が破損することがあるため、その時は連絡をすること
後戻り防止のため、保定装置の装着が必要である。
第2期(永久歯列期)での仕上げの治療が必要になる場合もある
3.中・高校生の治療 (永久歯列)
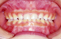
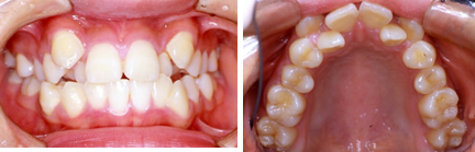
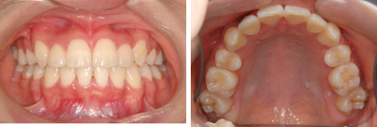
中・高校生(歯のデコボコ) 13歳
治療前(抜歯ナシ)

治療後(期間:約1年6ヶ月~2年)

※この治療には個人差があります
①主訴:八重歯を治したい
②診断名あるいは主な症状:前歯部叢生
③年齢:13歳
④治療に用いた主な装置:マルチブラケット装置
⑤抜歯部位:写真の症例は非抜歯(かみ合わせや叢生の程度により抜歯が必要となる場合もある)
⑥治療期間:1年半~2年半
⑦治療費:検査:49,500円
基本矯正費用:880,000円~
調整料:6,600円(ひと月に1回)
⑧リスクと副作用:治療開始後数日は噛むときに痛みがあります。
虫歯や歯肉炎予防のために毎日の適切な歯磨きが重要。
装置が破損する場合があり、その時は連絡が必要
治療後には後戻り防止として保定装置が必要
歯の移動により歯根の先が溶ける場合がまれにある。
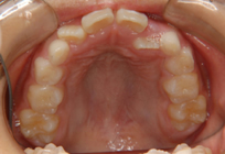
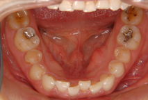
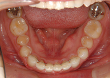
4.大人の治療 (全体的な治療)
全体的な治療 20歳
治療前(抜歯あり)

治療後

※この治療には個人差があります
①主訴:全体的な歯の不揃いを治したい
②診断名あるいは主な症状:叢生
③年齢:20歳
④治療に用いた主な装置:マルチブラケット装置
⑤抜歯部位:上下第1小臼歯を4本抜歯
⑥治療期間:2年半
⑦治療費:検査:49,500円
基本矯正費用:880,000円~
調整料:6,600円(ひと月に1回)
⑧リスクと副作用:治療開始後数日は噛むときに痛みがあります。
虫歯や歯肉炎予防のために毎日の適切な歯磨きが重要。
装置が破損する場合があり、その時は連絡が必要
治療後には後戻り防止として保定装置が必要
歯の移動により歯根の先が溶ける場合がまれにある。
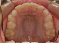
5.大人の部分的な治療(前歯のみの治療)
前歯のデコボコのみ治療 35歳
治療前

治療後

※この治療には個人差があります
①主訴:全体的な歯の不揃いを治したい
②診断名あるいは主な症状:叢生
③年齢:20歳
④治療に用いた主な装置:マルチブラケット装置
⑤抜歯部位:上下第1小臼歯を4本抜歯
⑥治療期間:2年半
⑦治療費:検査:49,500円
基本矯正費用:880,000円~
調整料:6,600円(ひと月に1回)
⑧リスクと副作用:治療開始後数日は噛むときに痛みがあります。
虫歯や歯肉炎予防のために毎日の適切な歯磨きが重要。
装置が破損する場合があり、その時は連絡が必要
治療後には後戻り防止として保定装置が必要
歯の移動により歯根の先が溶ける場合がまれにある。

